Request a video call
Confirm Your Virtual Consultation
Nairobi Sterling Dental Clinic Profile Overview

|
Table of Content |
Premium Dental Solutions at Sterling Dental Clinic in Nairobi, Kenya
As you age, dental issues can become more vulnerable, ranging from common problems like tooth loss, cavities, and gum disease to more complex dental issues. At Nairobi Sterling Dental Clinic, we understand the importance of maintaining good oral health throughout your life. Our clinic is an ultramodern facility that offers first-class dental treatments at affordable prices.
Conveniently located near M.P. Shah Hospital in Nairobi, Kenya, our clinic is staffed with highly skilled and friendly dentists. Our state-of-the-art facility is equipped with advanced dental technology, enabling us to deliver precise and effective treatments for various dental concerns.
Our Comprehensive Dental Treatments in Nairobi, Kenya
-
Root Canal Treatment: We specialize in root canal therapy to treat infected or damaged tooth pulp, saving the natural tooth and relieving pain.
-
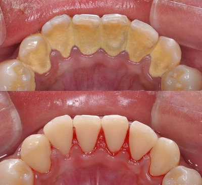
Teeth Cleaning: Professional dental cleaning helps remove plaque, tartar, and stains, promoting healthy gums and preventing dental issues.
-
Orthodontic Treatment: Our orthodontic services include braces, aligners, and other treatments to correct teeth alignment and improve overall oral health.
-
Pediatric Treatment: We provide gentle and effective dental care for children, focusing on preventive measures and early intervention.
-
Dental X-Rays: Our advanced dental imaging technology allows us to diagnose dental problems accurately and plan appropriate treatments.
-
Teeth Whitening: Achieve a brighter and whiter smile with our safe and effective teeth whitening procedures.
-
Dental Crowns: Restore damaged or decayed teeth with durable and natural-looking dental crowns, improving function and aesthetics.
Comprehensive Dental Care at Sterling Dental Clinic in Nairobi, Kenya
At Nairobi Sterling Dental Clinic, we operate as a cohesive team dedicated to improving and maintaining your dental and oral health. Our goal is to keep your teeth healthy, strong, and beautiful for years to come.
Our clinic is equipped with specialized dental equipment, and our dentists are highly qualified and experienced in providing a wide range of dental treatments. We are registered with the Government of Kenya, ensuring compliance with all regulatory standards.
Our commitment at Nairobi Sterling Dental Clinic extends beyond just providing dental services; we prioritize comprehensive care and patient satisfaction. With a focus on preventive measures and personalized treatment plans, we strive to keep your teeth healthy, strong, and aesthetically pleasing throughout your life.
Why Choose Nairobi Sterling Dental Clinic in Nairobi, Kenya?
-
Expertise: Our team of dentists comprises highly skilled professionals with years of experience in various dental procedures.
-
Advanced Technology: We utilize the latest dental technologies and equipment to ensure accurate diagnosis and effective treatments.
-
Patient-Centered Care: We prioritize patient comfort and satisfaction, providing personalized care tailored to individual needs.
-
Affordable Pricing: Our clinic offers competitive and transparent pricing for all dental treatments, making quality dental care accessible to everyone.
-
Emergency Services: We are available for emergency dental care services, providing prompt and effective treatment when you need it most.
Meet Our Team of Experienced Dentists in Nairobi, Kenya
Our team of experienced dentists at Nairobi Sterling Dental Clinic brings a wealth of expertise to ensure comprehensive care for all our patients. Dr. Raj specializes in root canal treatment and restorative dentistry, offering solutions for damaged or infected teeth. Dr. Bimal's expertise lies in orthodontics and braces, catering to both children and adults seeking teeth alignment solutions.
Dr. Yannik is skilled in dental implants and cosmetic dentistry, providing aesthetic enhancements and tooth replacement options. Dr. David focuses on pediatric dental care, emphasizing preventive measures and early intervention for children's dental health.
Lastly, Dr. Kariuki specializes in oral surgery and dental extractions, ensuring safe and effective procedures for complex dental issues. Together, our team is committed to delivering high-quality dental care tailored to each patient's unique needs.
Get FREE QUOTE Now at PlacidWay!
Ready to schedule your dental appointment? Contact us today through PlacidWay to book your consultation and start your journey towards a healthier smile. Whether you need routine dental care, cosmetic treatments, or emergency services, Nairobi Sterling Dental Clinic is here to meet all your dental needs in Nairobi, Kenya.

Location
Reviews
About Medical Center
- Speciality: Dentistry
- Location: Park Suites, 6th floor Parklands Rd, Nairobi , Nairobi , Kenya
- Overview: Discover top-tier dental care in Nairobi, Kenya at Nairobi Sterling Dental Clinic, renowned for excellence in oral health services. Book now at PlacidWay.

Share this listing