Request a video call
Confirm Your Virtual Consultation
Alfieri Dentista Profile Overview
A growing number of people from all over the world, prompted by soaring medical costs and dwindling insurance benefits at home, are contributing to the rising popularity of dental tourism, a fast-growing global phenomenon in which travelers visit nations for medical care mixed with vacation, all at low prices.
The dental surgery uses the latest generation dental equipment such as Digital X-rays, lasers and Intrabuccal Spectro Shade video-cameras which allow for shorter operations and mean that a full recovery can be achieved quicker: laser is widely used in oral surgery because of its remarkable benefits, such as greater precision and improved cutting control.
The staff of our dental surgery includes dott. Alfieri Giuliano, the chief surgeon, his assistants and a person in charge of the administration / organisation, totalling six staff members.
Oral surgery
- Simple oral surgery: apicoectomy, granuloma, frenulectomy, etc
- Implantation oral surgery: involving implants
Dental implantation
We perform dental implants implantation operations to improve the masticatory system from the aesthetic and functional viewpoints by grafting bone implants
Agreements: FASI, ASSOCRAL, CASAGIT, NEW MED, BLUE ASSISTANCE
Aesthetic dentistry
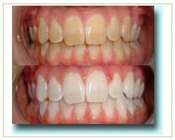
- Tooth whitening
- Ceramic fillings
- Ceramic inlays (Cerec)
- Veneers (ceramic facets)
Surgery equipment
Our dental surgery has avant-garde equipment from any viewpoint and implements the latest technological applications in the dentistry sector
Services
- extraction of teeth and roots
- tooth abscess incision
- extraction of wisdom teeth
- dental cyst removal
- apicoectomy
- gingivectomy
- synthetic bones grafts
- frenulectomy
Please Click Here to request more information from Alfieri Dentista.
Alfieri Dentista Treatments Offered
Digital X-rays:
RVG is a remarkable step forward as compared to traditional X-rays. This device allows taking an intrabuccal digital X-ray photograph in real time, display it on a monitor and process it through a keyboard connected to a computer, which also allows to create a data archive and print the photograph.
The intrabuccal film is replaced by an optical sensor which is placed inside the patient's mouth and, when rays are emitted through a normal radiography machine, conveys the image of the desired tooth to the monitor.
Pros: high-definition images are produced immediately, filing and printing operations are available and, last but not least, reduced exposition to X-rays.
Intrabuccal video-camera:
Thanks to its miniaturised size, it allows accessing the whole oral cavity without disturbing the patient and display excellent high-quality and high-definition images on a monitor. This device is an effective diagnostic tool for dentists. The possibility to access the oral cavity and analyse the magnified or still image of a detail allows to carry out very accurate examinations. Of course, this device may be connected to a computer to manage images more effectively and may be interfaced with printers, video-recorders and video-projectors to meet all needs in terms of filing data and examining patients. Moreover, in order to display the colour of the tooth correctly, a Spectro shade device may be resorted to which, thanks to two video-cameras included in a unit, allow to reproduce the tooth colour perfectly and send it to the laboratory through the internet to build a prosthesis.
Laser applications in dentistry:
Laser in dentistry provides a tool that is particularly flexible, painless, bactericidal, precise and conservative of tissues, thus allowing the implementation of new treatment procedures, such as permanent desensitisation. Its scope includes curettage, gingivectomy, the preparation of the gingival sulcus, frenulectomy, caries vaporisation and intracanal therapy.
Ceramic inlays by means of the Cerec method:
Aesthetic aspects have become increasingly important in the reconstruction of back teeth. Ceramic inlays provide numerous opportunities connected to their characteristics: ceramic lacks metal supports, consequently it ensures markedly better aesthetic results since it is similar to natural teeth in terms of opalescence and translucence.
Its fatigue strength is ensured by crystal substances imbedded in the vitreous substance. It is cemented to the tooth by means of new adhesive adamantine products.
Basic and simple oral implantation surgery
Simple oral implantation surgery includes all surgical therapies limited to the oral cavity which are compatible with dental surgery facilities.
Simple surgery operations often allow to restore the health of the oral cavity not only by means of tooth extractions (both simple and complex) but also through gingival plastic surgery or the removal of cysts. Operations also include biopsies and the removal of neoplasm of soft tissues. Moreover, we conduct osteointegrated implantation oral surgery operations which need approx. 5/7 months before developing the final prostheses and in the meantime mobile prostheses are inserted.
We also carry out immediate load implantation operations which allow cementing previously manufactured fixed provisional prostheses and immediately deal with the manufacturing of the following fixed prostheses.
All basic simple oral surgery operations which may normally be conducted in our dental surgery:
- extraction of teeth and roots
- tooth abscess incision
- extraction wisdom teeth
- dental cyst removal
- apicoectomy
- gingivectomy
- synthetic bones grafts
- frenulectomy
Thanks to the modern techniques and anaesthetics such oral surgery operations, which in the past were considered disturbing and painful, may be conducted according to totally painless procedures. Thanks to the latest generation of equipment, such as laser (see dental surgery equipment), operations are much shorter and full recovery is also achieved much quicker.
Dental implants fixed and mobile prostheses
Thanks to dental implants, both the natural appearance and the very functions of teeth, such as chewing, speaking and laughing, may be restored by means of specific dental prostheses. Implants inserted into the bones are very similar to the structure of a natural tooth. The operation consists in inserting pivot shafts into the toothless bone. After being included in the bone itself, such pivot shafts may support an artificial bone suitable for carrying out its functions.
The relevant surgical operation is neither difficult nor painful, has a very high rate of successful results and takes place in the outpatient’s ward with local anaesthesia.
The pros of oral dental implantation include the following:
- Replacing the missing tooth or teeth according to very high aesthetic and functional standards which last in time thanks to fixed dental prostheses
- Maintaining the wholeness of the natural teeth surrounding the missing teeth, since they are not involved in the prosthesis.
- Re-constructing and maintaining the bone and gingival anatomy of edentulous areas
In our dental surgery, we implant any kind of dental prostheses, both fixed and mobile, thanks to the latest technological applications available, i.e. bridges with aluminium oxide or zirconium structures which allow an aesthetic improvement of ceramics.
Conservative aesthetic dentistry
Modern conservative aesthetic dentistry deals with the restoration of teeth damaged by caries. Thanks to the implementation of new technologies and compound materials, perfectly simulating the colour and brightness of natural teeth, a range of conservative aesthetic operations has become available which was unimaginable up to a few years ago. Thanks to innovative whitening techniques, restoring the brightness of a smile is possible without altering the tooth structure.
Although its main and constant goal is preventing and treating the pathologies of the oral cavity, modern conservative dentistry, thanks to innovative tooth whitening techniques, deals with the painless correction of colour losses due to different causes, e.g. nicotine, old devitalised teeth or traumas, without causing any damage to the tooth structure.
- tooth whitening
- ceramic fillings
- ceramic inlays
- white aesthetic fillings
- ceramic facets (Veneers)
Services
Extraction of roots and teeth
We perform all types of extraction of teeth and roots and focus particularly on painful operations by using both sprayed and injected anaesthetics after checking for any intolerance
Tooth abscess incision
A tooth abscess consists of a small amount of matter concentrated in a cavity created by destroying tissues and surrounded by a membrane. In case of abscess, gums are reddened and sore if pressed, cheeks are often swollen, teeth may become unstable and chewing is painful.
Sometimes a fistula may emerge on the gums, i.e. the external evidence of the infective process producing purulent matter.
One of the simple oral surgery operations carried out in our dental surgery envisages the incision of dental abscesses, their cleaning and sterilisation. As a consequence, tissues quickly become less sore and swollen. In the most serious cases of abscess, an additional oral or parenteral (intramuscular) antibiotic therapy may be implemented.
Extraction of wisdom teeth
Today, owing to the phylogenetic development of mankind, only few people have sufficient space to host wisdom-teeth, also known as third molars (usually emerging between 17 and 21 years of age). In approximately 9 people out of 10, at least one wisdom-tooth remains partially or totally covered by the gums; consequently it has no space in the oral cavity and may jeopardise the correct position and health of the other teeth or the mouth, since it repeatedly leads to infections.
A correct treatment envisages the careful analysis of X-rays photographs taken of the mouth. The surgeon can understand whether the tooth may be subject to future development problems and consequently recommend its removal before the wisdom-tooth reaches its final development stage. Extractions in young patients is much easier since their dental roots have not yet developed and the bone surrounding their teeth is softer, damage to surrounding structures is less likely and recovery is quicker.
Cyst removal
Cysts are membrane sacs containing liquid, soft matter and gas. There are various types of cysts:
- dental cysts: cysts involving a tooth or its supporting tissues
dental cysts may derive from the incorrect development of the tissues responsible for odontogenesis or following an inflammation - follicular cysts: cysts characterised by the presence of a tooth, the crown of which is included in the cyst cavity whereas the root is outside and in contact with the surrounding bone.
- radicular cysts: cysts of inflammatory origin, emerging at the level of the root and deriving from granuloma processes
- residual cysts: radicular cysts remaining after the tooth they involved has been removed, thus resulting isolated in the bone
- traumatic cysts: deriving from a trauma or wound
Apicoectomy
Apicoectomy consists in the surgical removal of the root apex, the infection surrounding it and in closing (retrograde obturation) of the open canal. The least complex apicoectomies involve one-root teeth (top and bottom incisors and canines); greater difficulties emerge in the case of molars - owing to the greater number of canals (three in the top teeth, two in the bottom teeth) and especially the difficult vision of the operating area – and premolars.
Apicoectomy is useful when the canal is obstructed owing to either artificial or natural causes (a root-canal piece of equipment or a non-removable pivot shaft). In case of granuloma or non-patent canal (which may not be reached by means of root-canal equipment), apicoectomy is resorted to, although it is an invasive and debilitating operation (the tooth becomes shorter and has a shorter life).
Gingivectomy
Gingivectomy consists in the surgical excision of gums at join level to create a new marginal gum and involves the removal of the soft wall of the gingival pocket to cure the inflammation process and achieve a new epithelium join on the tooth. It may be completed by means of gingival plastic surgery. De facto, in the most serious cases of gingival loss, the lost adherent gum of the tooth may be restored by resorting to a sort of transplant, i.e. the grafting of gum taken from the palate.
Synthetic bones
Artificial synthetic bones are made of HTR polymer, which fosters the growth of new bone. Synthetic bone grafts are implemented in several sectors: if bone and periodontium defects are to be corrected, when the maintenance of bone tissue needs to be fostered, and in situations where the dental lamina needs to be raised
Frenulectomy
The term frenulectomy refers to the surgical re-positioning or removal of the frenulum. Frenulectomy operations are carried out to increase tooth stability after reducing the interdental cleft (i.e. an excessive interdental gap not determined by the loss or extraction of a tooth) in the case of a "labial-tectum” frenulum or to decrease the pull downwards involving the tongue owing to a short tongue frenulum.
Frenulectomy may also be recommended if the frenulum has a broad insertion or is mainly made of muscle tissue: the operation in performed with a local anaesthesia and a small suture is necessary.
Please Click Here to request more information from Alfieri Dentista.
Alfieri Dentista Certificates, Accreditations, Qualifications Treatments Offered
Team
The staff of our dental surgery includes dott. Alfieri Giuliano, the chief surgeon , his assistants and a person in charge of the administration/organisation, totalling six staff members.
Short history (CURRICULUM VITAE)
My name is Dr. Giuliano Alfieri. I became a qualified dentist in 1981 and began working in my own surgery in 1983. During this time I attended numerous courses on Dental Surgery and Implantology in the U.S.A. namely A.D.A., DENTAL YANKEE , GREAT and MIDWINTER. Other courses since have been Stockholm, A.E.D.E.C. in Dubai, I.D.E.M. in Singapore, I.D.S. in Cologne and many others.
I have been working in the new surgery since its set up in 2000. It has all the latest equipment and is proud to boast its total conformity to all the sanitary laws regarding hygiene sterility and patient safety and care.
The surgery is further equipped to dead with any possible handiccaped patients. There are also several highly qualified full-time assistants on hand.
Please Click Here to request more information from Alfieri Dentista.
Parma, Italy Destination Overview
Low prices Dentistry abroad Dental tourism Italy
Considerable savings can be made by travelling to Italy for dental tourism for low prices treatments such as cosmetic dentistry, dental implants and dental crowns. Dental prices may be as low as 30% of private dental prices in the UK. If you require expensive dentistry such as crowns, bridges, dental implants or an orthodontic treatment, you can make significant savings by going abroad to Italy to our dental studio and combine a relaxing break, away from the pressures of daily life, with a visit to Parma (Italy), that can be the starting point to take the train for one-day trips to Milan, Florence and Venice or to explore wonderful Tuscany.
A growing number of people from all over the world, prompted by soaring medical costs and dwindling insurance benefits at home, are contributing to the rising popularity of dental tourism, a fast-growing global phenomenon in which travelers visit nations for medical care mixed with vacation, all at low prices.
The dental surgery uses the latest generation dental equipment such as Digital X-rays, lasers and Intrabuccal Spectro Shade video-cameras which allow for shorter operations and mean that a full recovery can be achieved quicker: laser is widely used in oral surgery because of its remarkable benefits, such as greater precision and improved cutting control.
Our Dental prices may be as low as 30% of private dental prices in the UK
- Ryanair flights leave from the London Stansted airport at 11:50 am and arrive with direct fly to Parma (Italy) at 2:45 pm local time (+1 hour as compared to Greenwich). Flights back departing from Parma (Italy) every day at 3:15 pm and landing in London Stansted at 4:15 pm local time.
Departures every day except Fridays - My surgery is 30 minutes away from the Parma (Italy) airport by taxi (approx. 20 €)
- 3-star hotels immediately outside the city centre cost 70 € a 110 € per night
Please Click Here to request more information from Alfieri Dentista.
Location

About Medical Center
- Speciality: Dentistry
- Location: Via Venezia n.75, Parma 43100 , Italy
- Overview: Providing low prices dentistry abroad... Dental tourism in Parma, Italy... using the latest dental equipment.
Share this listing