 
                    UltimaDent in Izmir, Turkey Reviews from Real Patients
                        
                        Focus Area: 
                        UltimaDent | Izmir | Turkey | Cosmetics Dentistry | Laminate Veneer | Zirconium Crownse | Smile Design | Teeth Whitening | All on 4 Dental Implants | Jaw Surgery
                      
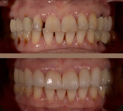
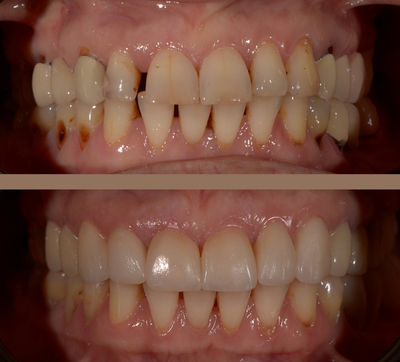
                  About UltimaDent
Experience top-quality dental care in Izmir, Turkey with UltimaDent. We combine advanced technology and expertise to provide the best dental treatments.



Review Summary of UltimaDent
                        Thais Erthal, Seda Kutluk, Tijen Kuyumcu Akbulut, Nermin Cantay, and Emel Sen all had positive experiences at UltimaDent in Izmir, Turkey. Dr. Nevsin SENER and her staff were praised for their competence and friendliness, with the clinic being described as impeccable and conveniently located. The service quality was highlighted as exceeding European standards, particularly with advanced gum treatments. Patients appreciated the warm and friendly staff, as well as the clinic's cleanliness and modern facilities. The personalized care and attention to detail, especially during the welcoming process, left a lasting impression on visitors. Overall, UltimaDent garnered high praise for its exceptional care and top-notch services.                      
                      This Summary is AI-generated.
 
             
                         
                         
                         
                         
                         
                         
                         
                         
                         
                         
                           
                           
                           
                           
                          .png) 
                          .png) 
                          .png) 
                          