Request a video call
Confirm Your Virtual Consultation
DentalExperts - Eirini N. Georgiou Profile Overview

Welcome to DentalExperts


Our Philosophy
The philosophy of our dental practice is to respond in the best way to the needs and expectations of our patients.
Our goal is to return a perfect result with minimal intervention. To restore and preserve your oral health, we use our clinical experience, knowledge and skills and we choose the right evidence based operative technique. for each and every case.
Our specialized staff and the technologically advanced clinical equipment can promise a high-end successful treatment. Maintaining or restoring a healthy, shining and attractive smile together with a proper occlusal function, will fill you with satisfaction and self-confidence, while helping you to improve your health in general.


Our Treatments


Endodontic Treatments
- Root canal treatment
- Apicoectomy
- Apexification – Apexogenesis
- External – Internal resorption repair
- Internal bleaching

Prosthodontic Treatments
- Fixed Bridges on teeth or on implant
- Crowns on teeth or on implant
- Root canal post
- Porcelain Veneers
- Inlays & Onlays of porcelain, or composite resin
- Dentures & Partial Dentures
- Partial dentures
- Complete Dentures
- Overdenture
- Composite Fillings
- Bonding
- Teeth Whitening

Non-Surgical Periodontal Treatment
-
Scaling and root planning -
Laser assisted periodontal treatment
-
Periodontal maintenance
- Teeth splinting” treatment

Surgical Periodontal Treatment
- Tooth extraction
- Extraction socket preservation
- Surgical periodontal pocket elimination
- Clinical crown lengthening procedure
- Alveolar ridge augmentation with bone grafts – Bone regeneration
- Periodontal plastic surgery (microsurgery)
- Aesthetic crown lengthening
- Soft tissue grafts to treat gum recessions
- Soft tissue grafts to increase the volume of the alveolar ridge
- Gingivectomy
- Frenectomy
- Vestibuloplasty


LASER Treatments
- Soft tissue laser
- Hard tissue laser
- Laser and periodontal treatment
- Laser and dentin hypersensitivity treatment
- Laser performed soft tissue procedure
- Laser performed hard tissue procedure
- Laser performed gum depigmentation
- Laser performed implants exposure
- Laser performed periimplantitis treatment
- Laser performed oral disease treatment
- Low level laser treatment
- Laser assisted tooth bleaching

Why Choose Us?

- Specialized staff and the Technologically advanced clinical equipment.
- Confidence, balance and a healthy smile.
- High Qualified Specialists.
- Warm smile, care and attention.
- Harmony, beauty and health.
- Scientific training and modern equipment.
- Smile, life and peace of mind.
- Beauty, joy and confidence.
- Knowledge, experience and consistency.

Our Health Care Staff
Dr. Eirini N. Georgiou
She attended the graduate program at the University of Athens and was awarded the title of clinical specialization in Periodontics and Master in Oral Biology. She attended the graduate program at the University of Vienna and received a Master in Applied object of intraoral Laser.
Monitor developments in scientific events with the participation of a European and international scientific conferences, and participates as a speaker at numerous scientific events in Greece and abroad.
Since 2007 maintains a private practice dedicated to practicing Clinical Periodontology, the applications Intraoral Laser and Dental Implants.

DentalExperts - Eirini N. Georgiou, Athens, Greece Profile Details

Our Center

Our dental practice is to respond in the best way to the needs and expectations of our patients.
Our goal is to return a perfect result with minimal intervention. To restore and preserve your oral health, we use our clinical experience, knowledge and skills and we choose the right evidence based operative technique. for each and every case.
Our specialized staff and the technologically advanced clinical equipment can promise a high-end successful treatment. Maintaining or restoring a healthy, shining and attractive smile together with a proper occlusal function, will fill you with satisfaction and self-confidence, while helping you to improve your health in general.



Our Treatments

Endodontic Treatments
- Root canal treatment
- Apicoectomy
- Apexification – Apexogenesis
- External – Internal resorption repair
- Internal bleaching
Prosthodontic Treatments
- Fixed Bridges on teeth or on implant
- Crowns on teeth or on implant
- Root canal post
- Porcelain Veneers
- Inlays & Onlays of porcelain, or composite resin
- Dentures & Partial Dentures
- Partial dentures
- Complete Dentures
- Overdenture
- Composite Fillings
- Bonding
- Teeth Whitening
Non-Surgical Periodontal Treatment
- Scaling and root planning
- Laser assisted periodontal treatment
- Periodontal maintenance
- Teeth splinting” treatment
Surgical Periodontal Treatment
- Tooth extraction
- Extraction socket preservation
- Surgical periodontal pocket elimination
- Clinical crown lengthening procedure
- Alveolar ridge augmentation with bone grafts – Bone regeneration
- Periodontal plastic surgery (microsurgery)
- Aesthetic crown lengthening
- Soft tissue grafts to treat gum recessions
- Soft tissue grafts to increase the volume of the alveolar ridge
- Gingivectomy
- Frenectomy
- Vestibuloplasty

LASER Treatments
- Soft tissue laser
- Hard tissue laser
- Laser and periodontal treatment
- Laser and dentin hypersensitivity treatment
- Laser performed soft tissue procedure
- Laser performed hard tissue procedure
- Laser performed gum depigmentation
- Laser performed implants exposure
- Laser performed periimplantitis treatment
- Laser performed oral disease treatment
- Low level laser treatment
- Laser assisted tooth bleaching



DentalExperts - Eirini N. Georgiou Treatments Offered

Our Treatments

Prosthodontic Treatments

Fixed Bridges on Teeth or on Implant
A dental bridge is a fixed (non-removable) appliance and is the common way to replace missing teeth.
A fixed bridge consists to two crowns that go over two anchoring teeth or implants (abutments) and are attached to pontics (artificial teeth), filling the gap created by one or more missing teeth. There are several types of bridges. You and your dentist will discuss the best options for your particular case. The “traditional bridge” is the most popular type and is usually made of porcelain fused to metal. A fixed bridge can be also made of All-ceramic materials. This solution gives a highly aesthetic result.

Crowns on teeth or on implant
A crown is a covering that encases the entire tooth surface restoring it to its original shape and size. A crown protects and strengthens tooth structure that cannot be restored with fillings or other types of restorations. Crowns can be placed over implants too.
Although there are several types of crowns, porcelain fused to metal (tooth colored crown) are the most popular. They are also All-ceramic crowns which are used in extremely demanding aesthetic situation.

Root canal post
Fiber reinforced post, cast post and core precious metal

Porcelain Veneers
Porcelain veneers are thin shells of ceramic that bond directly to the front surfaces of the teeth. They are an ideal choice for improving your smile and have become increasingly popular due to their simplicity and versatility.
Placing custom veneers requires a high degree of technical skill as well as attention to cosmetic detail. We place veneers routinely, and design each case individually to match and enhance the characteristics of each patient’s smile.
When bonded to the teeth, the ultra-thin porcelain veneers are virtually undetectable and highly resistant to coffee, tea, or even cigarette stains. For strength and appearance, their resemblance to healthy, white tooth enamel is unsurpassed by other restorative options.
With proper care, porcelain veneers will brighten your smile for well over a decade. Refraining from using your veneers as tools to open and cut things will prolong their life, and if accidental breakage or damage occurs, it is usually possible to replace only the veneer involved.
Dr Orfanou will ensure that your veneers are crafted from the highest quality porcelains and are bonded with the most advanced and proven materials available.

Inlays & Onlays of porcelain, or composite resin
When more than half of the tooth’s biting surface is damaged a dentist will often use an inlay or onlay. Inlays and onlays can be made of porcelain, or composite resin. These pieces are bonded to the damaged area of the tooth. An inlay, which is similar to a filling, is used inside the cusp tips of the tooth. An onlay is a more substantial reconstruction, similar to the inlay but extending out over one or more of the cusps of the tooth.

Dentures & Partial Dentures
A denture is a removable dental appliance replacement for missing teeth and surrounding tissue. They are made to closely resemble your natural teeth and may even enhance your smile.
There are two types of dentures - complete and partial dentures.

Partial dentures
Partial dentures are used when some natural teeth remain. A Partial denture not only fills in the spaces created by missing teeth, it prevents other teeth from shifting. There are two main types of partial denture: with reliance attachment and with clasps.

Complete Dentures
A complete denture is an appliance that is inserted in the mouth, replaces natural teeth and provides support for the cheeks and lips. Complete dentures are used when all of the teeth are missing
Most complete dentures are made of acrylic and can be fabricated two different ways.
- A conventional denture is made after all teeth have been extracted and the tissues (gums) have healed.
- An immediate denture is fabricated and inserted immediately after the teeth are extracted and the tissues are allowed to heal under the denture.
- An upper denture has acrylic, usually flesh colored, that covers the palate (roof of the mouth).
- A lower denture is shaped like a horseshoe to leave room for the tongue.
The teeth are made of plastic.

Overdenture
Complete Dentures can be fabricated to fit over endodontically treated teeth or to be attached to dental implants to allow for a more secure fit of the appliance. These are called overdentures.
Dentures over a normal course of time will wear and need to be replaced or relined in order to keep the jaw alignment normal. The alignment will slowly change as the bone and gum ridges recede or shrink due to the extraction of the teeth. Regular dentist examinations are still important for the denture wearer so that the oral tissues can be checked for disease or change.

Composite Fillings
A composite (tooth colored) filling is used to repair a tooth that is affected by decay, cracks, fractures, etc. The decayed or affected portion of the tooth will be removed and then filled with a composite filling.
There are many types of filling materials available, each with their own advantages and disadvantages. You and your dentist can discuss the best options for restoring your teeth. Composite fillings are the most widely used today. Because composite fillings are tooth colored, they can be closely matched to the color of existing teeth, and are more aesthetically suited for use in front teeth or the more visible areas of the teeth.

Bonding
Bonding is an alternative to veneers, and can be used as a restorative procedure for teeth that are chipped, cracked, discolored or misarranged. The bonding procedure can often be completed in a single office visit, and can improve the appearance of a tooth significantly. However, since the plastic resin used is not as strong as your natural tooth enamel, it is more likely to stain, chip or break than natural teeth. Bonding typically lasts three to five years before need of repair.

Teeth Whitening
We offer teeth whitening to our patients to improve the color of your teeth and your smile.
There are different procedures that can be used to whiten your teeth. Some procedures take place at our office and some are take home procedures.

Endodontic Treatments

Root Canal Treatment
Root canal treatment, also known as endodontic treatment, is a dental procedure in which the diseased or damaged pulp (core) of a tooth is removed and the inside areas (the pulp chamber and root canals) are disinfected, filled and sealed.

Root Canal Retreatment
This procedure involves the thorough removal of old filling material from the root canal system due to recurrent inflammation or insufficient treatment in the first place. The specialist need to identify and correct the problem. Disinfection and 3-Dimensional filling of the root canal system completes the treatment.

Apicoectomy
The surgical removal of the apex or the apical portion of an infected or damaged tooth root, usually in conjunction with apical curettage or root canal therapy.

Apexification – Apexogenesis
The process of induced root development or apical closure of the root by hard tissue deposition by placement of tissue-tolerant material in the root canal, such as MTA, after apicoectomy or orthograde root canal treatment.

External – Internal Resorption Repair
External resorption is a condition of a tooth where the root surface is lost. This can be caused by chronic inflammation, cysts, tumors, trauma, reimplantation of a tooth, or sometimes the cause is unknown.
Internal resorption is an unusual condition of a tooth when the dentin and pulpal walls begin to resorb centrally within the root canal. The cause can sometimes be attributed to trauma to the tooth, but other times there is no known etiology.

Internal Bleaching
Internal bleaching is the dental procedure that aims to the aesthetic improvement of a treated tooth, usually after root canal retreatment, by placement of intracanal medicaments.

Non-Surgical Periodontal Treatments
Non-surgical techniques for the treatment of the periodontal disease.
Periodontal treatment consists of an initial non-surgical and conservative phase that can be accomplished by a series of surgical techniques. These surgical techniques are applied in cases where the conservative treatment alone cannot control the inflammation and further expansion of the disease. 
Nowadays, the laser assisted periodontal treatment is conservative, non-surgical type of treatment that if applied according the indications, using the indicative wavelength and by specialized doctors, can effectively become the one and the last periodontal treatment phase. Although a “once and for good” treatment of the periodontal disease does not exist, treatment techniques available to us, can effectively control the development/further expansion and reoccurrence of periodontal disease, as well as the loss of teeth.

Scaling and Root Planning
The initial phase of periodontal disease treatment consists of removing the microbes from over and under the gums, along the root surface. These microbes can be found in the form of the soft substance called dental microbial plaque, as well in the form of calculus. This initial stage of deep cleaning through the process called scaling and root planing is usually carried out in many appointments in which local anesthesia is applied in order to avoid pain.
Depending on the severity of each case, it is decided whether in this phase of the treatment the application of local antiseptic or antimicrobial solutions (chlorhexidine or local antibiotics) or even the use systematic use of antibiotics is needed. This way the first phase of periodontal treatment, of which target is to reduce inflammation, is completed.

Laser Assisted Periodontal Treatment
Laser is energy that takes the form of light. This light can be visible or not. Depending of the wave length, different types of lasers exist. Some of these lasers possess strong antibacterial capability which means when applied into the periodontal pockets eliminate the microbes resulting in antisepsis.
This laser attribute in conjunction with biostimulation (cell biostimulation) makes laser utilization in periodontal disease treatment extremely helpful, assuming that is administered by specialized doctors. The primary advantage of laser periodontal disease treatment is that even in the most severe cases, the healing of the tissues after it is so comprehensive that the need for additional surgical treatment is virtually non-existent. In addition, complications of using laser during periodontal disease treatment are very few and the number of treatment sessions needed to complete the treatment is much lower compared to traditional periodontal disease treatment.

Periodontal Maintenance
After the completion of the treatment, the development of the disease has been combated. However, the danger of a relapse is always present. Periodontal diseases are chronic, the same way diabetes and heart diseases are. Therefore constant monitoring is needed to ensure a stable and inactive state of the disease. Consequently periodontal patients need constant monitoring and frequent professional teeth cleaning to maintain their periodontal health.
The frequency of the check-ups and professional teeth cleanings in severe cases are necessary to be done every 2-3 months which is 2-3 times more frequent than in cases that are less severe, in which monitoring and cleaning is carried out approximately every 6 months. During these check-ups, a comprehensive reevaluation of the oral cavity and teeth is carried out – along with x-rays if deemed necessary – in order to compare the findings with the findings of the previous check-up and determine possible local or general relapse of the disease. Subsequently, cleaning of the teeth to get rid of microbes is carried out. Where relapse is present deeper cleaning is administered by scaling and root planing. This way, further development and expansion of the periodontal disease is prevented and the good therapeutic result is maintained.

Surgical Periodontal Treatments
Periodontal surgery refers to small scale surgical techniques used on periodontal tissues.
Many of these techniques require extreme and detailed technical specialization and equipment and are commonly referred as periodontal plastic surgery. Their aim is to rehabilitate damage caused by periodontal disease and has not been fully healed during the conservative treatment phase. Moreover they can be applied in order to prepare periodontal tissues for the prosthetic rehabilitation or for the aesthetic correction of the gums.

Tooth Extraction
The reasons/pathology that can lead to a tooth extraction are:
- Very deep caries.
- Severe periodontal lesion.
- Root resorption that does not respond to treatment.
- Tooth fracture in such a way that cannot be restored.
- Bad tooth positioning in the dental arch, for instance an impacted tooth.
- Orthodontic reasons.
The extraction of a tooth can cause several problems such as cosmetic, occlusal, speech, chewing etc. For this reason the extraction of a tooth is always the last resort and when is inevitable to lose one or more teeth they should be replaced as soon as possible in the best available manner for each specific patient.
Every surgical extraction is preceded by deep local anesthesia. Then the tooth is separated from the gums and utilizing specialized tools the tooth is pushed out from its socket. During this process the patients do not feel any pain but they do feel the pressure from the tooth leaving its place. This pressure sensation does not cause any discomfort or other unpleasant feeling to the patient. On some occasions, to make the extraction process less traumatic the tooth that is soon to be extracted is cut into pieces and the extraction is carried out is stages. After the extraction, the socket is cleaned up and sutures are placed where blood coagulation is needed. Depending on the case and the treatment plan, an extraction could be followed by a bone regenerative procedure, in order to preserve or augment the dimensions of the alveolar ridge at the extraction socket area.

Extraction Socket Preservation
The loss of one or more teeth is followed by the shrinkage of the alveolar ridge. This shrinkage appears as an inelegant dimple-tissue shortage that will leave a gap under the existing or future prosthetic restoration. This gap is not just inelegant. It also creates functionality problems as it does allow saliva and air to go through, which in turn worsens the speech and ability to chew. Even if an attempt is made to reduce it by modifying the prosthetic restoration, teeth will be disproportionately big.
Before a gap like the one just mentioned has to be treated, it can be predicted and avoided. Filling the extraction socket with bone grafts/substitutes, assists in maintaining the dimensions of the area where the extraction was performed and reduces to minimum the bone resorption. The smaller the resorption of the bone is, the more elegant and aesthetically appealing the prosthetic restoration to be placed in the area will be, whether it will be a classic bridge or a bridge made on implants.
During this surgical technique, immediately after the extraction of the tooth the socket is filled with bone graft. The bone graft is covered with membrane and the gums are sutured right above the membrane.

Surgical Periodontal Pocket Elimination
When periodontal tissues are healthy, gums surround teeth tightly and with stability, much as a bow tie surrounds the neck. But when inflammation is present, gums around the teeth get looser, the surrounding bone is damaged and consequently teeth start to be unstable with end result to be completely dislodged and come off. The main cause of the inflammation known as periodontal disease is bacteria. As the bone around the teeth is destroyed a periodontal pocket is formed. This periodontal pocket serves as a concentration area where new bacteria are generated resulting in further development of the inflammation, which in turn accelerates the bone destruction and further deepening of the pocket, until eventually the tooth falls off. Therefore, the primary aim of the periodontal treatment is to eliminate these periodontal pockets.

Shallow periodontal pockets with depth up to 5mm can satisfactorily be dealt with conservative treatment techniques. Deeper pockets though, with depth over 5mm, require further surgical treatment. For this purpose, several surgical techniques have been developed that, based on the form and magnitude of the damage, have larger or smaller indication. These techniques are: a) resective techniques with simultaneous bone surgery b) reconstructive/regenerative techniques and c) root planing after flap procedure/ open clean out.
a) Resective techniques with simultaneous bone surgery.
In these cases, the gums are surgically detached from the teeth and the inflamed bone and granulation tissue is removed. In addition the roots of the teeth are cleaned up from residual calculus and bacteria toxins performing root planing. The bone around the teeth is reconstructed. It is smoothed or removed using specialized burs or hard tissue laser in order for its surface to have no holes that may in the future serve as places where new bacteria can hide. At the end of the process, gums are sutured around the teeth in order to remain in close contact with the bone.
With this technique, predictable pocket elimination/resection is achieved but in some cases the result of an aesthetic point of view is very undesirable. In addition teeth with minimal residual bone probably fall off and dental hypersensitivity is caused, because part of the teeth root is exposed in the mouth. This dental hypersensitivity is combated at a later time.
b) Reconstructive/regenerative techniques: Guided bone regeneration.
In some periodontal lesions of certain from it is possible, under certain circumstances, to reconstruct/regenerate the lost bone around the teeth. The most important condition that affects the probability of success of these techniques is the form of the damage. The ideal form is the one where the destroyed bone meets the linear axis of the tooth at an angle or when it forms a crater with the tooth sitting in the center of it.
In these cases, an incision on the gums is once again performed and the gums are detached from the bone and the teeth in order to remove the inflamed tissue. Then root planing is performed in order to clean the roots from residual calculus and bacteria toxins and then a bone graft or substitute is placed in the intrabone lesion. This bone graft is a bone that was acquired either from the patient himself (autogenous graft) or commercially where it is readily available. The bone grafts available in the market could be synthetic, but may also be from another human or animal. In the latter case, grafts have undergone the necessary treatment in order not to be a threat to the recipient. The selection of the bone graft type to be used depends on several factors and is always done in a way that maximizes the probability of success, always having as a primary aim to reconstruct the lost bone according to patient’s wish. The bone graft that was placed in the damaged area is then covered with a membrane that protects it and also helps it heal and the gums are sutured around the teeth.
Bad oral hygiene, smoking and not regulated diabetes are main factors that adversely affect the healing process that follows the bone regenerative techniques.
c) Open clean out
This technique is selected where the residual periodontal pockets are not very deep, however the periodontal inflammation cannot be efficiently combated by root planing alone. In these cases are incision is once again made and the gums are detached from the bone and the teeth. Root planing is performed in order to remove the inflamed tissue and to clean the surface of the root from residual calculus and bacteria toxins. The gums are then sutured around the teeth.
The successful elimination of periodontal pockets, in conjunction with meticulous and effective oral hygiene practiced by the patient, along with regular doctor visits and maintenance as specified by the doctor for each individual patient are the key points to maintain periodontal tissues healthy. The periodontal pocket elimination can also be successfully, bloodless and painless performed by using in conjunction soft and hard tissue lasers.

Clinical Crown Lengthening Procedure
The clinical crown lengthening is the surgical technique that aims to uncover more of the healthy tooth in the mouth. It usually precedes a scheduled prosthetic restoration or aesthetic procedure for the specific tooth or teeth. It is also the technique that can be used to combat gummy smile or to reform the gum outline around the teeth.
In some occasions the problem is not just aesthetic but also biological and functional. In these cases, the healthy toot that remains over the bone and the gums is extremely short, almost non-existent. This could be the result of deep caries, teeth attrition, tooth fractures, previous sub-standard restorations etc. Whatever the cause may be, the fact is that these teeth cannot be rehabilitated in this condition, as the available healthy tooth is not enough to allow for a filling, a veneer, a crown etc to be placed. To treat these cases, the clinical crown lengthening technique is performed.
During the clinical crown lengthening procedure a controlled gum and/or bone excision is carried out, in order to end up with more amount of healthy tooth exposed into the oral cavity. That will allow tooth rehabilitation in the form of a filling, veneer or crown in conditions that biologically, aesthetically and functionally up to acceptable standards.
Clinical crown lengthening procedure can also be carried out by laser, using in conjunction soft and hard tissue laser.

Alveolar Ridge Augmentation with Bone Grafts – Bone Regeneration
In some cases, birth defects of the jaws result in not satisfactory thickness and height of the alveolar bone to allow an aesthetic reconstruction with prosthetics or the placement of dental implants. Additional, factors that may result in bone loss are the traumatic extractions, wounds and fractures in the jaws area, development lesions, periodontal disease and partial or full dentures.
The reconstruction of the dimensions of the alveolar ridge results in a wider variety of options for prosthetic rehabilitation, meaning that it can be performed placing dentures, bridges or dental implants. Furthermore, it creates the necessary conditions for these restorations to be aesthetically appealing, easy to clean, functional and able to be preserved without any problems for many years.
Several techniques can result in alveolar ridge augmentation and the selection of the most appropriate one is made by the doctor based on the indications found in each case:
Particulate bone graft:
In some cases the alveolar ridge reconstruction can be performed using particulate bone grafts. These bone graft materials could be received from the patient to be used on (autogenous graft), from another person (allograft), from an animal (xenograft), to be synthetic (alloplastic material) or a combination of these.
The main advantage of this method that makes it extremely popular is that, based on the indications, it is not necessary to use autogenous grafts received from extraoral area because if the available bone graft amount inside the mouth is not enough, can be complemented with additional bone graft readily available in the market. In this case, after the incision and the gum detach from the treated area, bone graft is placed and covered usually with non-absorbing membrane in order to give more stability. The gums are then sutured back together over the regenerative materials and then a 6-9 month healing period is observed.

Block Bone Grafts
These bone grafts are selected primarily for the cases in which, according to the treatment plan, implants will be placed and the residual bone of the alveolar ridge is not enough. The reconstruction of the hard tissue can also be combined with the reconstruction of soft tissue. The bone transplant is collected according to the desired dimensions either from areas inside the mouth like the chin or the lower jaw, or from areas outside the mouth such as the ilium or the tibia. Gums are detached from the treated area with a surgical incision and the bone graft block is secured in the lesion area. It is then covered with an absorbable or non-absorbable membrane and the gums are sutured back together to cover the regenerative materials. In order to be able to place the implants in the regenerated area a healing period of 6-9 months needs to be observed.

Alveolar Ridge Expansion Technique
This is another technique that is usually utilized when there is a great shortage of hard tissue. In this case, the jaw is separated and literally expanded by mechanical means, and the bone graft (particulate or block) is placed between. Regenerative materials are then covered with membrane and the gums are sutured back together over the treated area. A healing period of 6-9 months is again needed.
Alveolar ridge augmentation with soft tissue grafts
In the cases that the alveolar ridge augmentation is not necessary to be done with bone, the same result can be achieved using a soft tissue graft. In this case, after the incision and the detachment of the gums from the lesion area, a soft tissue graft received from the patient or commercially from companies that specialize in the supply of such grafts (AlloDerm, Mucograft etc.) is sutured in the area. Subsequently, the gums are sutured back together over the soft tissue graft in a way that it is covered completely and then we await through the healing period.

Periodontal Plastic Surgery (microsurgery)
Periodontal plastic surgery primarily aims to surgically deal with gum problems in the aesthetic anterior area. The target of these very detailed and precise surgical procedures is to resolve aesthetic problems such as gum recession of the upper front teeth, “gummy” smile etc.
The surgical procedures are always performed under magnification of the area to be operated which secures the highest possible degree of precision and visibility. During periodontal plastic surgery, specialized tools are utilized in order to minimize tissue trauma and ensure that the precision of all surgery stages is extremely high.
Under these surgery pre-requirements and conditions ideal healing, very high predictability and superb prognosis is ensured for the area that is going or has been treated.
Dr Eirini Georgiou is specialized in periodontal plastic surgery techniques and has at her disposal the most technologically advanced equipment and necessary know-how. Along with her associates, she will work towards achieving the most aesthetically appealing smile for you.

Aesthetic Crown Lengthening
Although your teeth when you smile appear short (commonly known as “gummy smile”), they may actually be the proper length. They could just be surrounded from an excess of gums, or a part of them can still be inside the bone. This problem can be very easily corrected by recreating the outline of the gums around the teeth. During this process, not only the outline of the gums is corrected, but also the high symmetry of the teeth according to your smile and face.
The beauty of your natural teeth is revealed by removing the excess of gums and in some cases of the bone which surrounds them. This technique can be used on one or more teeth with very high precision always according to the needs of the each and every area. A projection of how your smile will look like can be presented you before the operation takes place. This cosmetic technique rejuvenates and reveals a beautiful smile and makes it even more so, and along the way with assistance from orthodontics and restorative dentistry any dental shortcoming that may also exist is corrected.
Cosmetic crown lengthening can also be carried out using a combination of soft and hard tissue laser.

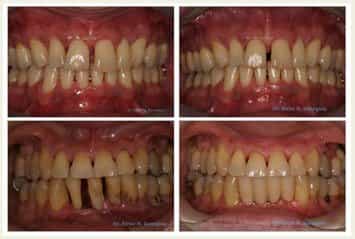
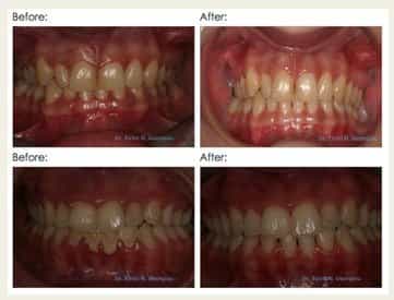
Soft tissue grafts to treat gum recessions
In some cases, mainly due to intense and brushing force, caused by inflammation and periodontitis gingival biotype minutes, or incorrect positioning of the tooth on the bar, caused the root surface of teeth Gingival. When we Gingival, gums recede, giving the impression that the teeth are too long, big and yellow, because the roots of teeth exposed to the oral environment.
The exposed root surfaces in the mouth in many cases exhibit hypersensitivity. That hurt to stimuli such as cold, hot, sour or sweet. In these radicals exposed by their nature are more yellow than the natural tooth seated additional pigments making the color more yellow and unaesthetic. Also, because in the regions of the gums recession development is lower, the roots often left uncleaned and accumulate microbes. These microbes cause both decay at the root of the tooth and pain, other inflammation in the gums and deterioration of Gingival.
In the office of Ms. George will diagnose the cause of the problem, address the cause of the Gingival that it does not deteriorate, and then will tackle the same problem, that will cover the denuded root with gum.
To address the recession development and therefore protect exposed roots of caries, hypersensitivity and chipping, apply techniques of plastic surgery of the gums. During these operations the aesthetic used implant soft tissue obtained from the patient or palate allograft has received special treatment to be perfectly safe (AlloDerm ®, Mucograft ®, ....). The grafts are formed by first-fit region of Gingival (root and gums) - sewn around the tooth so as to cover the exposed surface. These techniques can be applied to one or more teeth simultaneously, and also in cases where very large Gingival may need a second surgery to fully address the problem.

Soft tissue grafts to increase the volume of the alveolar ridge
The loss of one or more teeth is followed by alveolar ridge shrinkage on horizontal and/or vertical level. This defect appears as an inelegant tissue shortage of the alveolar ridge that will leave a gap under the prosthetic restoration that is already or will be placed. This gap is not just inelegant. It creates further functional problems since it allows saliva, air and solid of liquid food to go through which in turn worsens the ability to speak or chew. If an attempt is made to reduce this gap modifying the prosthetic restoration, teeth will end up being inelegantly big. With assistance of periodontal plastic surgery techniques, soft tissue grafts are taken from the patient’s palate, which are placed in the defect area to cover the gap and restore the natural dimensions of the alveolar ridge (ridge augmentation). When using these techniques, a foreign commercial soft tissue graft that has been appropriately processed, in order to be absolutely safe to the recipient, can also be used. (Alloderm, Mucograft etc.).

Gingivectomy
Gums sometimes are too thick and hyperplastic, at such a high degree that covers a significant part of the teeth surface. In these cases, teeth appear to be short and during smiling abnormal gums are unnaturally revealed (“gummy smile”), instead of shiny and well-shaped teeth. This gingival hyperplasia could simply be a specific trait of the system (idiopathic gingival hyperplasia) or can be attributed to medications, or chronic irritation at the area where dental hygiene is neglected, for instance during orthodontic treatment. In all of the aforementioned cases the problem will not go away by itself. A gingivectomy procedure is the technique used to effectively combat gum hyperplasia, always adhering to rules of aesthetics. During gingivectomy, the excess soft tissue is removed and the outline of the gums around the teeth is recontoured in order to end up with a symmetrical smile according to the face of each patient.
The gingivectomy procedure can also be performed with soft tissue laser.

Frenectomy
Frenum is a part of soft tissue that begins from the internal side of lips and ends at the gums. Many different frenums exist in the mouth and one can easily be spotted by placing the tongue between the upper lip and the upper front teeth. Other frenums can be found between the cheeks and the gums or connect the tongue with the lower ground of the mouth.
On some occasions, frenums are powerful enough to cause problems. For instance, on the upper jaw they can infiltrate in between the central incisors and maintain a gap between them, on the lower jaw they can forcefully pull the gums down and cause recessions or prevent the placement of dentures and a short tongue frenum is responsible for delayed speech and other speech impediments.
Powerful frenums must be cut out.
On the upper jaw, if the frenum causes a gap between the two central incisors, first the teeth are orthodontically moved to one another and the gap is closed and then the frenum is cut out. On the lower jaw, if the frenum is responsible for gum recession , it is first the frenum removed and then the recession is treated using a periodontal plastic surgery technique. If the frenum is preventing the placement of a denture, the problem is solved just by removing it.
Last but not least, a short tongue frenum should be removed as soon as possible and at young age before it causes any speech impediments to the child.
The removal of the frenum is performed by first applying local anesthesia and then by releasing it across its entire width and length. Some sutures may be needed in case there is bleeding. After this operation, sensitivity and pain for anywhere between 24-72 hours may be present and painkillers can be used for that reason.
Τhe frenectomy can also be more conservative and well performed by laser.

Vestibuloplasty
A shallow vestibule occurs wither after an intense absorption of the alveolar ridge or after regenerative periodontal surgery. Shallow vestibule exists when the distance between the cheek and the top of the alveolar ridge decreases. Beyond difficulty to practice dental hygiene, other problems caused by a shallow vestibule are restricted sensation during chewing, speaking and facial expression in general. In addition, when the patient has or needs dentures there is not enough space available for expansion of the dentures stability wings. The denture is not stable and the patient cannot speak, since every time he attempts to speak the denture rises up. Meanwhile the mucosa at the edge of the ridge is severely wounded causing very intense pain.
When shallow vestibule is diagnosed, its deepening is necessary.
The procedure is performed using local anesthesia. Then, using a scalpel an incision along the height of the vestibule is made, which is expanded until the desired depth is reached. Then sutures are used to hold the mucosa up high and stop the bleeding. In these cases, a post-surgery edema can develop, while 24-72 hours after the surgery sensitivity and pain are likely to occur, which are combated with pain killers.
A more conservative technique used to perform the vestibuloplasty is also available and it involves the utilization of soft tissue laser.

Laser

Intraoral applications LASER: The laser are devices that emit energy in the form of light. This action applies to various sciences, technology and medicine. When used properly are extremely effective and in many dental work. Each device generates laser-emitting energy at a single, specific wavelength. This action - the particular wavelength - has the property to be absorbed and thus to interfere with different efficiencies in various tissues of the oral cavity. Speaking tissues of the oral cavity and the absorption of energy of laser, some particular wavelengths absorbed better from the hard tissue and hard tissue called laser and some of the soft tissue and soft tissue called laser.
Laser Treatments
- Soft Tissue Laser
- Hard Tissue Laser
- Laser And Periodontal Treatment
- Laser And Dentin Hypersensitivity Treatment
- Laser Performed Soft Tissue Procedure
- Laser Performed Hard Tissue Procedure
- Laser Performed Gum Depigmentation
- Laser Performed Implants Exposure
- Laser Performed Periimplantitis Treatment
- Laser Performed Oral Disease Treatment
- Low Level Laser Treatment
- Laser Assisted Tooth Bleaching

DentalExperts - Eirini N. Georgiou Certificates, Accreditations, Qualifications Treatments Offered

Our Health Care Staff
Dr. Eirini N. Georgiou
She graduated from the Dental School of the University of Athens in 2001.
During the academic years 2002-2005, she attended the postgraduate program at the University of Athens and was awarded the title of clinical specialization in Periodontics and Master in Oral Biology.
The academic year 2007 she attended the postgraduate program at the University of Vienna and received the Master in oral Laser applications.
She is a member of:
- The Greek Society of Periodontology,
- The Greek Association of Periodontology,
- The Greek Society of Oral Laser Applications,
- The European Society of oral Laser applications,
- The European Society of Periodontology and
- The European Society of Osseointegration.
Follow the new developments in scientific events with the participation of European and international scientific conferences, participates as a speaker at numerous scientific events in Greece and abroad and publish numerous scientific papers in peer reviewed journals.
Since 2007 maintains a private practice dedicated in Clinical Periodontology, Intraoral Laser applications and Dental Implants.

Dr. Krithinakis DDS, CAGS
Born in Athens Greece in 1977, graduated National and Kapodistrian Dental School of Athens (Class 2007). Right after graduation he became clinical instructor in the Endodontic department of the National and Kapodistrian Dental School of Athens. Later on he was specialized in Endodontics in Boston University Goldman School of Dental Medicine (Class 2011) and was board certified by the American Association of Endodontists - Part I (AAE) in june 2011.
Throughout his dental carrier he has published numerous papers in dental journals and has attended and presented several scientific projects in dental conferences.
He is also a member of the American Association of Endodontists (AAE).
Currently he is maintaining a dental clinic in Athens Greece limited to cutting edge Endodontics (dental microscope, digital x-ray, ultrasonics, rotary iintruments, apex locator) and working on his Phd thesis in National and Kapodistrian Medical School of Athens.

DentalExperts - Eirini N. Georgiou Testimonials

Testimonials
Date: 09.03.2012 12:33
Christodoulos Papaphotis
Dr Georgiou is an exceptional professional with knowledge of modern techniques and deep understanding of her filed.
I have lived in USA, and currently work out of Germany traveling all over Europe, and have been suggesting to partners and friends alike her services.
Kind regards, Christodoulos Papaphotis.

I have been a patient of Dr. Georgiou for a few years and I can only express the highest praise for her and her team. Dr Georgiou is a true professional and a master of her field. Her knowledge in the latest techniques and the highly qualified team make you feel that you are in good hands. The time and attention given to the patients on all levels is remarkable and I can only express my deepest gratitude for showing sincere care for me as a patient. I gladly travel to get such care.

Date: 09.10.2012 12:36
Syrigou Maria
Dr. Georgiou was extremely responsive to my needs. Made every effort to meet me as soon as possible and take care my dental problems during my holidays in Greece.
The deep knowledge on her field, her exceptional skills and the high-tech equipment of her dental clinic ensure the best results!
I would definitely recommend her.
Kind regards. Maria Syrigou

DentalExperts - Eirini N. Georgiou Awards & Recognitions
Athens, Greece Destination Overview
Location
About Medical Center
- Speciality: Dentistry
- Location: 1 Marasli st, 10676 Athens, Greece , Athens , Greece
- Medically reviewed by: Dr. Eirini N. Georgiou
- Associated Doctors: Dr. Eirini N. Georgiou , Dr Krithinakis DDS, CAGS
- Medical Center Prices: DentalExperts - Eirini N. Georgiou
- Overview: In DentalExperts - Eirini N. Georgiou is the best medical center for the Periodontal Treatments in Athens, Greece. You can get best treatment for Surgical and Non-Surgical Periodontal Treatments at DentalExperts. Find and compare your treatment options here.

Share this listing