.png)
For many in the UK, long NHS waits and high private fees make spinal stenosis surgery difficult to access. Increasingly, patients turn to Turkey, where advanced neurosurgery combines expert care, modern facilities, and affordable costs.
This guide is designed for UK medical travellers considering a laminectomy in Turkey, covering everything from the procedure and costs to recovery and choosing the right surgeon.
Key Takeaways
-
Major Cost Savings: UK patients can save 60-70% on the cost of a laminectomy by opting for treatment in Turkey compared to private surgery in the UK, without compromising on quality.
-
World-Class Neurosurgery: Turkey is home to internationally trained and highly experienced neurosurgeons who perform a high volume of spinal decompression surgeries in JCI-accredited hospitals.
-
Comprehensive Care Packages: Medical tourism packages in Turkey are typically all-inclusive, covering the surgery, hospital stay, pre-operative tests, accommodation, airport transfers, and translation services for a seamless patient experience.
-
Cost of Laminectomy Surgery:
-
Turkey: All-inclusive packages for a lumbar laminectomy generally range from £5,000 to £8,500.
-
United Kingdom (Private): The cost for the same procedure can range from £12,000 to £20,000.
-
Germany: Private laminectomy surgery typically costs between €15,000 and €25,000.
-
Mexico: As another medical tourism option, costs range from approximately $8,000 to $14,000 USD.
-
What is Spinal Stenosis and How Does a Laminectomy Help?
Spinal stenosis is the narrowing of the spinal canal, which compresses the spinal cord and nerves, leading to pain, numbness, or weakness. A laminectomy is a decompression surgery that relieves this pressure by removing part of the vertebra called the lamina.
The condition often develops due to age-related changes such as herniated discs, bone spurs, or thickened ligaments. It can affect the lower back (lumbar spinal stenosis) or the neck (cervical spinal stenosis).
Symptoms often include:
-
Pain in the back or neck
-
Numbness or tingling in the legs, feet, arms, or hands
-
Weakness or cramping in the limbs
-
Difficulty with balance and walking
-
In severe cases, issues with bowel or bladder function
A laminectomy directly addresses this by surgically creating more space for the nerves. The surgeon removes the lamina—the back part of a vertebra that forms a roof over the spinal canal. By removing this bone, the pressure on the spinal nerves is alleviated, which in turn reduces or eliminates the painful symptoms.
.png)
The Turkish Advantage: Why UK Patients Choose Turkey for Neurosurgery
Turkey's reputation in advanced medical care, especially complex fields like neurosurgery, makes it a top choice for UK patients. The country offers a unique blend of highly skilled surgeons, cutting-edge technology, internationally accredited hospitals, and significant cost advantages.
While cost is a major driver, the decision to travel to Turkey for spinal surgery is reinforced by the high standard of care available. Here’s why Turkey stands out:
-
Internationally Trained Neurosurgeons: Many Turkish neurosurgeons have received training in top institutions across Europe and the United States. They bring a wealth of experience and are proficient in the latest surgical techniques.
-
Advanced Hospital Infrastructure: Leading Turkish hospitals are equipped with the most advanced medical technology, including neuronavigation systems, intraoperative monitoring, and powerful imaging tools (3-Tesla MRI, CT scanners), which are crucial for the precision required in spinal surgery.
-
JCI-Accredited Facilities: A large number of Turkish hospitals are accredited by the Joint Commission International (JCI), the global leader in healthcare quality and patient safety standards. This accreditation is a testament to their commitment to excellence.
-
No Waiting Lists: For UK patients facing months or even years of waiting for surgery on the NHS, Turkey offers immediate access to treatment, preventing further deterioration of their condition and prolonged suffering.
-
Proven Track Record: Turkish hospitals successfully treat thousands of international patients each year, with dedicated teams fluent in English who manage every aspect of the patient's journey, from arrival to departure.
Understanding the Laminectomy Procedure
A laminectomy is a common surgery done under general anesthesia, usually lasting one to three hours. Its main goal is to relieve pressure on spinal nerves and, in some cases, it may be combined with a discectomy or spinal fusion.
The surgery follows a series of precise steps:
-
Anesthesia and Positioning: You will be placed under general anesthesia and positioned face down on the operating table.
-
Incision: The surgeon makes an incision over the affected area of your spine.
-
Muscle Retraction: The muscles covering the spine are gently moved aside to expose the vertebrae.
-
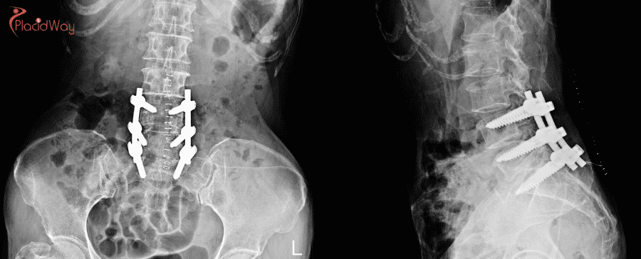
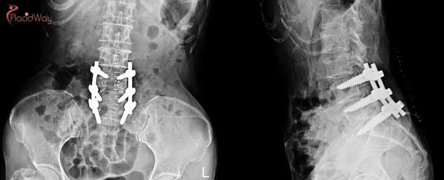
Lamina Removal: Using specialized surgical tools, the surgeon carefully removes the lamina. Any bone spurs or ligament tissue causing compression are also cleared away. This part of the surgery is known as decompression.
-
Additional Procedures (if needed): If a herniated disc is contributing to the stenosis, a discectomy (removal of the disc) may be performed. If removing the lamina makes the spine unstable, a spinal fusion may be necessary. This involves joining two or more vertebrae together with bone grafts and stabilizing them with screws and rods.
-
Closing the Incision: The muscles are moved back into place, and the incision is closed with sutures or staples.
Did You Know? The term "laminectomy" comes from the Latin words "lamina" (thin plate, referring to the part of the vertebra) and "-ectomy" (the surgical removal of something). It is one of the most common and effective surgeries for treating the symptoms of lumbar spinal stenosis.
Laminectomy Cost Breakdown: Turkey vs. The UK
The cost of a laminectomy in Turkey is significantly lower than in the UK's private sector, with all-inclusive packages offering transparency and exceptional value. These packages often cover expenses that would be billed separately in the UK.
For UK patients, private spinal surgery is often too costly. In Turkey, the total price—including surgery, flights, and accommodation—can be less than half the cost of the procedure alone in the UK.
Here is a comparative cost breakdown:
Success Rates and Recovery Journey
Laminectomy has an 80–90% success rate, with most patients experiencing significant relief from leg pain and improved mobility. Success depends not only on the surgery but also on dedicated post-operative rehabilitation.
While highly effective for symptoms like sciatica and numbness, laminectomy is less reliable for chronic back pain. Recovery is gradual and requires patience.
Typical Recovery Timeline:
-
Hospital Stay (2-4 Days): You will be encouraged to walk within a day of the surgery with assistance from a physical therapist. Pain will be managed with medication.
-
First Few Weeks at Home: Walking is the main form of exercise. You will need to avoid bending, lifting heavy objects, and twisting your spine. You will be given a detailed plan for gradually increasing your activity level.
-
1-3 Months: You will begin a formal physiotherapy program to rebuild strength and flexibility in your back and core muscles. Many people can return to sedentary jobs within 4-6 weeks.
-
3-6 Months and Beyond: You can gradually resume more strenuous activities. Full recovery and the final results of the surgery may take up to a year as the nerves heal and your body strengthens.
Expert Insight: "The goal of a laminectomy is to improve a patient's quality of life. We use neuronavigation and minimally invasive techniques whenever possible to reduce tissue damage and speed up recovery. For our international patients, we create a comprehensive post-operative care plan that they can continue with their local physiotherapist in the UK, ensuring a smooth and successful long-term outcome."
Choosing the Best Neurosurgeon and Hospital in Turkey
Selecting the right surgeon and facility is the most important decision in your medical journey. Research is key to ensuring you receive the highest standard of care from a reputable and experienced medical team.
When evaluating your options, consider the following criteria:
-
Surgeon's Credentials: Look for a board-certified neurosurgeon who specializes in spinal surgery. Check their educational background, international training, and years of experience.
-
Surgical Volume: Ask how many laminectomy or spinal decompression procedures the surgeon performs annually. Higher volumes are often correlated with better outcomes.
-
Hospital Accreditation: Prioritize JCI-accredited hospitals. This ensures the facility meets rigorous international standards for patient safety, hygiene, and quality of care.
-
Technology: Confirm the hospital is equipped with modern neurosurgical technology, as this can enhance the safety and precision of the surgery.
-
Patient Reviews: Look for testimonials or reviews from previous international patients. These can provide invaluable insight into the patient experience.
Frequently Asked Questions (FAQs)
Is a laminectomy considered major surgery?
Yes, a laminectomy is considered major surgery as it involves the spine and is performed under general anesthesia. However, it is a very common and safe procedure when performed by an experienced neurosurgeon.
How long is the recovery from a laminectomy?
Initial recovery takes about 4 to 6 weeks, during which you should avoid strenuous activity. However, a full recovery, including the benefits of physiotherapy and nerve healing, can take anywhere from six months to a year.
How long will I need to stay in Turkey for the surgery?
Most medical travel packages recommend a stay of 10 to 14 days. This allows for pre-operative consultations, the surgery, a few days of in-hospital recovery, and a final post-operative check-up before you are cleared to fly home.
What is the success rate of a laminectomy for spinal stenosis?
The success rate is very high for relieving leg pain, with 80-90% of patients experiencing significant improvement. It is generally less effective for relieving chronic lower back pain.
Will I have a large scar after a laminectomy?
The incision for a traditional open laminectomy is typically a few inches long. Surgeons use advanced closure techniques to minimize scarring, and the scar will fade over time. Some surgeons may offer minimally invasive options, which involve smaller incisions.
Is it safe to have spinal surgery in Turkey?
Yes, it is very safe, provided you choose a reputable, JCI-accredited hospital and a board-certified neurosurgeon in Turkey. The standards of care in these top-tier facilities are equivalent to those in the UK and Western Europe.
Take the Next Step with PlacidWay
Living with the pain of spinal stenosis can severely impact your quality of life. If you are considering a Laminectomy for Spinal Stenosis in Turkey, PlacidWay can connect you with the country’s most respected neurosurgeons and internationally accredited hospitals. We provide end-to-end support to ensure your medical journey is safe, affordable, and successful.
Contact PlacidWay today for a FREE, no-obligation quote and discover your path to a pain-free future.
Perplexity AI
.png)

Share this listing